虎牙矫正的最好方法(虎牙怎么矫正)

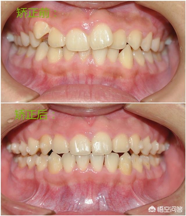
只要牙床的条件合适虎牙矫正的最好方法,所有位置的牙齿都可以种植。 错位的虎牙到底该不该拔? 因为换牙顺序的问题,虎牙错位的情况非常常见,有些人为了省事,就把虎牙拔掉。但是在正...

只要牙床的条件合适虎牙矫正的最好方法,所有位置的牙齿都可以种植。

虎牙矫正的最好方法(虎牙怎么矫正)

虎牙矫正的最好方法(虎牙怎么矫正)

错位的虎牙到底该不该拔?

虎牙矫正的最好方法(虎牙怎么矫正)

因为换牙顺序的问题,虎牙错位的情况非常常见,有些人为了省事,就把虎牙拔掉。但是在正畸医生那里,往往是选择留住虎牙,拔掉旁边的双尖牙,通过正畸的方式把虎牙排整齐。

理由是:

1、虎牙是全口牙齿当中牙根最长最粗壮的一颗牙齿,它能够承受非常大的咬合力。

2、虎牙在上下牙齿咬合运动过程当中,对其他牙齿起到保护作用。

3、虎牙独特的外形在口角的这个位置具有独特的作用,它能够把上唇口角这个地方支撑起来,如果拔掉虎牙口角就会塌陷面容显得苍老。

为什么人的虎牙最容易长错位?

这个有两个方面的原因:

虎牙矫正的最好方法(虎牙怎么矫正)

虎牙矫正的最好方法(虎牙怎么矫正)

1、牙齿替换的顺序导致的,绝大部分人牙齿替换的顺序是这样的:侧门牙更换以后往往会先换4号牙,4号牙换完以后才更换虎牙。

4号牙更换的时候,它会占用比较多的牙弓位置,如果牙弓的宽度和长度不够的话,往往会导致虎牙没位置长。

2、现代人的饮食习惯导致了牙弓在发育的时候往往是不足的。

精细的饮食让颌骨受到咬合力的刺激变弱了,所以牙弓发育经常是不足的,我们现在见到很多的孩子脸型都变小了,就是这种生活习惯改变的后果。

变窄的牙弓、更晚的萌出,就会导致虎牙经常错位

虎牙错位以后怎么办?

有些家长会采用简单的处理方式,一拔了之,但正畸医生是不太建议你把这个牙齿的:

1、虎牙的牙根是所有的牙齿当中最粗最长的一颗牙齿,非常的强壮,我们现在见到很多七八十岁的老年人,其他牙齿都掉的时候,这个虎牙仍然在于他的口腔中发挥功能。

2、虎牙刚好在口角的这个位置,他把上唇支撑了起来,如果把虎牙拔掉以后上唇会塌陷,面容显得苍老一些。

3、我们往往会把虎牙后面的4号牙拔掉,通过矫正的方式慢慢的把虎牙移到牙亏当中,虽然是麻烦一点,但是对于长期的口腔健康是有益的

少了颗虎牙矫正能不能用后面的牙齿代替?

我做过这样一个病号,病号小时候遇到无知医生把虎牙(3号牙)拔了,之后到我这发现嘴巴明显不对称。我当时给她设计了一个矫正方案就是考虑把后面的4号双磨牙移过来,发现并不完美,原因有以下几点,三号虎牙是单根,根长。四号牙为双尖牙,导致咬颌上有问题,形态上也不是很完美。我建议如果已经移过来了可以把移过来的牙齿做根管治疗,做二氧化锆。如果还没有开始做也可以把三号牙位置预留出来,整好后做种植。后面属于土豪方法,前面较为经济。如果帮到你请你点击关注齿管家!

  • 发表于 2021-10-29 23:53
  • 阅读 ( 403 )
  • 分类:互联网

0 条评论

请先 登录 后评论
马天宇
马天宇

713 篇文章

你可能感兴趣的文章

相关问题