兔唇怎么治疗(兔唇怎么修复)

  平时都跟你们聊简单的科普,偶尔还是要聊一下自己的专业~   唇腭裂患者上颌骨严重发育不足   正畸治疗刺激上颌骨生长的效果   动图是严重骨性III类畸形上颌骨发育不足的患者,刺激...

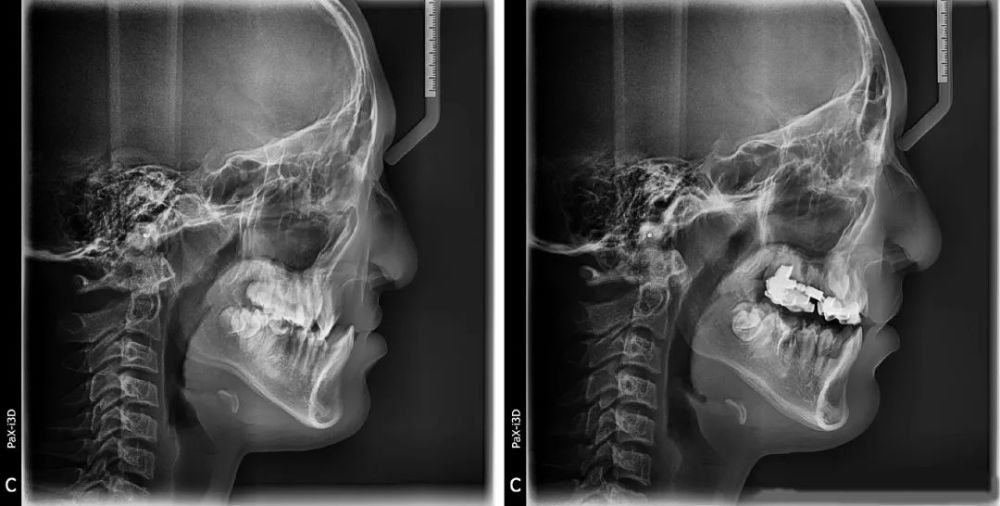
  平时都跟你们聊简单的科普,偶尔还是要聊一下自己的专业~

  唇腭裂患者上颌骨严重发育不足

  正畸治疗刺激上颌骨生长的效果

  动图是严重骨性III类畸形上颌骨发育不足的患者,刺激颌骨生长前后的效果对比。

  单纯正畸治疗,没有正颌哦~

  兔唇怎么治疗(兔唇怎么修复)

  以下是没画轮廓的原图

  兔唇怎么治疗(兔唇怎么修复)

  效果是不是很明显?做完矫正真的好看了很多呢~

  小朋友如果有唇腭裂的问题,家长们一定要重视,不要觉得做个唇腭裂手术就万事大吉了。

  唇腭裂是需要序列治疗的——唇腭裂手术、语音治疗、心理治疗、正畸治疗等等,很可能需要从小治到大。

  一定要及时就医,乖乖遵医嘱,按时复诊。整齐的牙齿、好看的外观、自信的笑容都会有的。

  1

  END

  1

  【有事可乐】

  口腔问题咨询

  正畸日常投稿可添加

  (偶尔可撸可乐喵)

  • 发表于 2022-01-26 00:58
  • 阅读 ( 326 )
  • 分类:互联网

0 条评论

请先 登录 后评论
百晓君
百晓君

698 篇文章

你可能感兴趣的文章

相关问题